이정현 미디어연구소
김양균 기자
개그우먼 박나래의 출장 링거를 두고 의료계에서도 지적이 나오고 있다. 이번 논란의 쟁점은 두가지다. 하나는 왕진 문제이고, 또 하나는 ...
2025.12.08 PM 04:10조민규 기자
도수치료, 경피적 경막외강 신경성형술, 방사선온열치료가 관리급여 적용 항목으로 선정된데 대해 의료계의 반발이 거세다.관리급여는 의료적 필요도를 ...
2025.12.11 PM 04:06조민규 기자
“젊은 사람들중에 건강보험료만 내고 혜택을 못받는다고 생각하는 사람이 꽤 있는 듯하다. 젊은이들이 많이 쓴다고 하는데 (탈모치료제 건강보험) 검...
2025.12.18 AM 07:00조민규 기자
젬백스앤카엘(082270, 이하 젬백스)은 삼성제약(001360)과 진행성핵상마비(이하 PSP) 치료제 ‘GV1001’에 대한 아시아 주요 4개...
2025.12.05 PM 06:08조민규 기자
덴마크에서 대량의 정자를 기증해 최소 197명의 아이를 가진 한 남성이 소아암 발병 위험을 높이는 희귀 유전 돌연변이를 보유한 사실이 드러나 파...
2025.12.11 PM 04:24이정현 미디어연구소
의약품 판매사업을 중심에 둔 제약사들이 디지털헬스사업으로 눈을 돌리고 있다. 이는 정체된 의약품 시장에서 새로운 성장동력으로 헬스케어 스타트업과...
2025.12.30 AM 10:15김양균 기자
안녕하세요, 한국바이오의약품협회 회장 이정석입니다. 2026년 병오년(丙午年), 붉은 말의 해가 밝았습니다. 역동성과 추진력을 상징하는 말처럼, 우리 바이오의약품 산업 역시 급...
2026.01.01 AM 12:00김양균 기자
존경하는 국민 여러분, 안녕하십니까? 대망의 2026년, 병오년 새해가 밝았습니다. 새해의 첫 아침이 국민 여러분 한 분 한 분의 삶에 작은 온기와 든든한 건강으로 스며들기를 ...
김정진 한국신약개발연구조합 이사장이 병오년 새해를 맞아 국내 신약 R&D 지원 의지를 밝혔다. 김 이사장은 1일 신년사를 통해 공개한 조합의 새해 과제는 '혁신 신약 개발을 통...
2025.12.31 PM 11:59김양균 기자
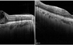
최근 십 년간 망막혈관폐쇄 환자가 66% 증가하는 것으로 나타났다. 망막혈관폐쇄는 망막에 영양과 산소를 공급하는 혈관이 막히게 되어 시력 감소를 초래하는 안질환이다. 건강보험심...
2025.12.31 AM 10:00김양균 기자
총 진료비 138조6천억원…비급여 진료비 21조8천억원 추정 지난해 건강보험 보장률이 전년과 동일한 64.9%로 분석됐다. 건강보험 보장률은 전체 의료비(일반의약품, 성형‧미용...
2025.12.30 PM 01:25조민규 기자
공공장소나 중요한 자리에서 방귀가 나오려고 하면 대부분의 사람들은 참는다. 방귀는 음식을 섭취할 때 함께 들어간 공기와 장 내 박테리아가 음식물을 분해하는 과정에서 발생하는 가...
2025.12.30 AM 11:44이정현 미디어연구소
감사와 희망의 인사를 올립니다. 다사다난했던 을사년(乙巳年) 한 해가 저물고 대망의 병오년(丙午年) 새해가 밝았습니다. 지난 한 해 동안 보내주신 따뜻한 사랑과 응원에 진심으로...
2025.12.30 AM 10:41김양균 기자
2025년 한국 ICT 산업에 '성장 둔화'와 '기술 대격변'이 공존한 해였다. 시장 침체 속에서도 AI·에너지·로봇·반도체 등 미래 산업은 위기 속 새 기회를 만들었고, 플랫...
병오년 새해 국민연금 보험료율이 9.5%로 인상된다. 기존 9%에서 0.5%p 오른 것. 보험료율은 매년 +0.5%p씩 2033년 13%까지 오른다. 조정된다. 국민연금 전체 ...
2025.12.30 AM 10:13김양균 기자
2025.12.30 AM 09:48김양균 기자
보건복지부가 추진 중인 제네릭(복제약) 가격 인하를 골자로 한 약가 인하 개편안에 대해 '절대 반대' 입장을 고수하고 있는 제약사들이 정책 추진 시 기업 손실이 1조2천여억 원...
2025.12.30 AM 09:07김양균 기자
한국표준협회(회장 문동민)는 최근 국립암센터(원장 양한광)에 인공지능(AI) 경영시스템 국제표준 ISO/IEC 42001:2023 인증을 수여했다고 밝혔다. 이번 인증은 암빅데...
2025.12.29 PM 04:53주문정 기자
부인암 중 사망률 1위를 차지하는 난소암은 재발률이 높고 5년 생존율도 50% 미만에 머무르는 난치성 암이다. 복강 내 여러 부위로 전이되는 특징이 있어 발견됐을 때 복막까지 ...
2025.12.29 PM 03:18조민규 기자
무릎관절염 환자가 초기에 한의치료를 이용한다면 향후 무릎 수술을 받거나 진통제를 쓰게 될 가능성이 더 낮아진다는 연구 결과가 나왔다. 자생한방병원 척추관절연구소는 한의치료 이용...
2025.12.29 PM 02:02조민규 기자
카카오헬스케어가 파스타(PASTA) 앱에 인공지능(AI) 수면 및 혈압 기록과 식단 예보 등의 기능을 탑재했다. 이번에 적용된 기능들은 모두 만성질환과 밀접하다. 우선 'AI ...
2025.12.29 PM 01:50김양균 기자
알테오젠은 지난 12월26일 이사회 결의를 통해 전태연 사내이사를 신임 대표이사로 선임했다고 공시했다. 이번 인사는 현 대표이사인 박순재 의장의 대표이사직 사임에 따른 것으로,...
2025.12.29 AM 11:35조민규 기자
알파타우 메디컬(DRTSW, 이하 알파타우)이 미국 식품의약국(FDA)으로부터 국소 재발성 전립선암 환자를 대상으로 한 파일럿 임상시험(IDE) 개시 승인을 획득했다. 이번 승...
2025.12.29 AM 11:29조민규 기자
셀트리온은 미국 식품의약국(FDA)으로부터 다중항체 기반 항암 신약 'CT-P72/ABP-102'의 임상 1상 진행을 위한 임상시험계획서(IND) 승인을 획득했다고 29일 밝혔...
2025.12.29 AM 11:22조민규 기자
로엔서지컬은 AI 기반 신장결석 수술로봇 '자메닉스'(Zamenix)가 최근 조달청으로부터 혁신제품(지정번호 제2025-410호)으로 지정됐다고 29일 밝혔다. 이번 지정으로 ...
2025.12.29 AM 11:17조민규 기자
노연홍 한국제약바이오협회장이 정부의 제네릭(복제약) 약가 인하를 골자로 한 약가제도 개편안이 제약업계에 부정적인 영향을 미칠 것이라고 전망했다. 노 회장은 29일 신년사를 통해...
2025.12.29 AM 11:13김양균 기자